Erlichioza monocytarna to dość groźna choroba, którą przenoszą kleszcze. U niektórych osób objawy mogą przypominać grypę, dlatego warto być czujnym. Wyniki badań wskazują, że z każdym rokiem liczba przypadków wzrasta. Dlatego, jeżeli nie chcesz, aby kleszcz stał się twoim najgorszym wrogiem, musisz być świadomy tego, na co zwracać uwagę. Jakie objawy mogą sugerować, że coś jest nie tak? Przede wszystkim, wysoka gorączka – zazwyczaj powyżej 39 stopni – powinna zapalić czerwone światło. Jeżeli czujesz się, jakbyś przechodził przez piekło, to może oznaczać, że czas na wizytę u lekarza!
Kiedy odczuwasz ból głowy, stawów i mięśni, a do tego pojawia się uczucie osłabienia, nudności i brak apetytu, możesz zacząć się niepokoić. Pamiętaj, że erlichioza to nie tylko wspomnienie wakacji z kleszczem w roli głównej, ale również mnóstwo innych uciążliwości. Powiększone węzły chłonne, wzdęcia, które sprawiają, że brzuch wygląda jak balon, oraz dziwne wysypki – wszystko to może oznaczać, że twój organizm zetknął się z bakteriami z rodzaju Ehrlichia. Gdy zauważysz te objawy, nie czekaj na cud, lecz lepiej udaj się do lekarza!
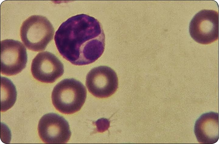
Rozmowa z lekarzem zapewni ci konieczne badania krwi, które ujawnią szczegóły twojego stanu zdrowia. W badaniach często stwierdza się leukopenię lub trombocytopenię, co oznacza, że coś niepokojącego dzieje się z twoimi komórkami krwi. Zwróć uwagę, że chociaż erlichioza może wydawać się zabawna przez krótki czas, nie warto bagatelizować tej sprawy. Niektórzy pacjenci zamiast wrócić do normalności, znajdują się na długiej drodze leczenia. W takich przypadkach zazwyczaj przepisuje się antybiotyki, jak tetracyklina czy doksycyklina, aby ukrócić tę sytuację.
Aktualnie kluczowym aspektem jest możliwość zapobiegania zakażeniom. Odpowiedni ubiór, stosowanie środków odstraszających kleszcze oraz kontrola ciała po powrocie z lasu mogą stać się twoimi sojusznikami w walce z tymi małymi, nieproszonymi gośćmi. Poniżej znajdziesz kilka ważnych wskazówek dotyczących zapobiegania ukąszeniom przez kleszcze:
- Noś długie rękawy i spodnie podczas spacerów w lesie.
- Stosuj środki odstraszające kleszcze na skórze i ubraniach.
- Sprawdzaj ciało na obecność kleszczy po powrocie z wycieczek.
- Unikaj miejsc z wysoką trawą i gęstymi zaroślami.
Zawsze lepiej unikać infekcji, niż walczyć z ich konsekwencjami. Jeżeli chcesz w pełni cieszyć się latem, nie daj się kleszczom i zachowuj czujność – twoje zdrowie ma kluczowe znaczenie!
| Objaw | Opis |
|---|---|
| Wysoka gorączka | Zazwyczaj powyżej 39 stopni |
| Ból głowy | Odczuwany w trakcie choroby |
| Ból stawów i mięśni | Może towarzyszyć innym objawom |
| Osłabienie | Ogólne uczucie braku energii |
| Nudności | Może prowadzić do braku apetytu |
| Powiększone węzły chłonne | Może świadczyć o infekcji |
| Wzdęcia | Brzuch wygląda jak balon |
| Dziwne wysypki | Może być objawem kontaktu z bakteriami |
| Leukopenia | Zmniejszona liczba białych krwinek |
| Trombocytopenia | Zmniejszona liczba płytek krwi |
Ciekawostką jest, że erlichioza monocytarna, choć rzadziej spotykana, może prowadzić do poważnych powikłań, takich jak zapalenie mózgu czy niewydolność nerek, szczególnie u osób z osłabionym układem odpornościowym. Dlatego wczesne rozpoznanie i leczenie są kluczowe dla uniknięcia takich zagrożeń.
Skuteczne metody diagnostyki choroby i jej znaczenie
W dzisiejszych czasach choroby odkleszczowe stają się coraz powszechniejsze, a jedną z najciekawszych oraz jednocześnie niebezpiecznych jest erlichioza monocytarna. Co istotne, ta choroba często objawia się podobnie jak grypa, co znacznie utrudnia postawienie właściwej diagnozy. Objawy, takie jak gorączka, bóle głowy, mięśni i stawów, przypominają nam znaną ulgę po długim dniu pracy. Czyżby nadchodziło zwolnienie lekarskie? Zaskakujące jest to, że erlichiozę powoduje bakteria Ehrlichia chaffeensis, którą kleszcze przenoszą, żerując na naszym ciele. Dlatego diagnostyka choroby oraz świadomość jej objawów, niczym wcześniejsze mity o UFO, mają kluczowe znaczenie.
W diagnostyce erlichiozy istotnym krokiem jest wywiad epidemiologiczny, który obejmuje pytania o ostatnie spotkania z kleszczami. Lekarz pyta o nasze weekendowe plany, a tu zaczyna się prawdziwa gra. Lekarze wykorzystują różnorodne narzędzia diagnostyczne, takie jak testy serologiczne, badania krwi czy nawet techniki genetyczne. Im szybciej podejmiemy odpowiednie działania, tym większa szansa na szybkie przywrócenie do zdrowia. Czasami mowa nawet o kilku dniach, a nie o długotrwałym pobycie w łóżku!
A co, jeśli sytuacja ulegnie pogorszeniu? To właśnie wtedy musimy wprowadzić ciężką artylerię – antybiotyki z grupy tetracyklin, które pełnią rolę superbohaterów w naszym organizmie. Kluczowym momentem staje się jednak czas; im szybciej zaczniemy ich stosowanie, tym lepiej dla naszej przyszłości. W końcu, kto chciałby kończyć w szpitalu z powodu dodatkowej lektury dotyczącej kleszczy, prawda?
Na koniec, ale z pewnością nie mniej ważne: aby jak najszybciej chronić się przed erlichiozą, warto stać się trochę jak ninja kleszczowy – nosić odpowiednie ubrania i stosować preparaty odstraszające. Oto kilka wskazówek, jak skutecznie się zabezpieczyć:
- Noszenie ubrań zakrywających ciało, zwłaszcza podczas wędrówek w terenie.
- Używanie środków odstraszających, takich jak DEET.
- Regularne sprawdzanie siebie i swoich bliskich pod kątem kleszczy po powrocie z wycieczek.
- Pranie ubrań w wysokiej temperaturze po spędzeniu czasu w miejscach, gdzie mogą występować kleszcze.

Po powrocie z leśnych przygód warto również dokładnie zbadać się, aby upewnić się, że żaden kleszcz nie planował niezapowiedzianej wizyty w naszej krwi. Pamiętajcie, dbanie o zdrowie to nie tylko dobra praktyka, ale także świetna inwestycja w przyszłość!
Leczenie erlichiozy monocytarnej – jak wygląda proces terapeutyczny?
Erlichioza monocytarna to choroba, która potrafi zaskoczyć swoimi niespodziewanymi objawami. Może zdarzyć się, że przez wiele lat nie odczuwasz żadnych dolegliwości, a nagle dopada cię gorączka, zmęczenie i bóle głowy, które mogą przypominać grypę. Co gorsza, wielu pacjentów nie zdaje sobie sprawy, że ich problemem może być ta podstępna bakteria, przenoszona przez kleszcze. Zamiast udać się do lekarza na posezonowy „kleszczy” przegląd, czekają na zaostrzenie objawów.
Kiedy już podejmiemy decyzję o wizycie u specjalisty, niezwykle istotne staje się, aby wywiad epidemiologiczny był dokładny. Lekarz zadada wiele pytań dotyczących kontaktu z kleszczami, odczuwanych objawów oraz ogólnego stanu zdrowia. Dlatego podczas każdej wizyty warto pamiętać, że objawy mogą być „niespecyficzne” oraz zróżnicowane. Niektóre osoby zamiast udać się na konsultację z powodu grypy, wybierają się na wakacje za granicę. W rezultacie, w rzeczywistości mogą to być wczesne oznaki erlichiozy. Dokładny przegląd (prawie jak kleszczowy casting) oraz badania krwi stanowią kluczowe elementy w postawieniu diagnozy.
Po przejściu przez krętą drogę diagnozy, gdy uda się potwierdzić erlichiozę, zbliżamy się do etapu terapeutycznego. Antybiotyki, przede wszystkim z grupy tetracyklin, takie jak doksycyklina, stają się naszymi sojusznikami. Miejmy nadzieję, że te magiczne pigułki zaczną działać szybko! Jeśli wdrożymy leczenie we właściwym czasie, istnieje duża szansa, że objawy ustąpią stosunkowo szybko i wrócimy do normalnego życia. Dobrze jest również pamiętać o probiotykach, które wspomogą równowagę w układzie pokarmowym.

A co się stanie, jeśli zignorujemy leczenie? Zaniedbanie erlichiozy może prowadzić do poważnych powikłań, które budzą więcej obaw niż wyprzedaże po Świętach! Niewydolność nerek, ostre zapalenie mięśnia sercowego oraz zaburzenia neurologiczne mogą zagrażać naszemu zdrowiu. Jednak nie ma powodów do paniki; wystarczy być czujnym i dbać o swoje zdrowie, by uniknąć najgorszego. Regularne przeglądy, ochrona przed kleszczami oraz wzajemne wsparcie w walce z tą nieprzyjemną chorobą stanowią klucz do sukcesu.
Poniżej znajdują się najważniejsze powikłania, które mogą wystąpić w przypadku zignorowania leczenia erlichiozy:
- Niewydolność nerek
- Ostre zapalenie mięśnia sercowego
- Zaburzenia neurologiczne
Profilaktyka i środki ostrożności w zapobieganiu zakażeniom

Profilaktyka stanowi najlepszą strategię, jeżeli pragniemy uniknąć nieprzyjemnych niespodzianek związanych z zakażeniami. Mówiąc w prost, można to porównać do zakładania kasku na głowę przed jazdą na rowerze – może wydawać się trochę przesadzone, ale lepiej dmuchać na zimne! W przypadku chorób odkleszczowych, takich jak erlichioza, unikanie kontaktu z nieproszonymi gośćmi, czyli kleszczami, stanowi klucz do zdrowia. Wybierając długie rękawy, spodnie do kostek oraz jasne kolory ubrań, ograniczamy kleszczom możliwość „zgubienia” nas! Ponadto, stosując spray odstraszający, wysyłamy wyraźny sygnał: „Nie, dziękuję, kleszcze!”
Wracając do tematu bezpieczeństwa, po każdej wędrówce bezwzględnie przeprowadź dokładną „lustrację” swojego ciała. Sprawdź się ze wszystkich stron, bowiem wszyscy wiemy, że kleszcze szczególnie preferują pachwiny – nie daj im się! A gdyby jednak zdarzyło się, że dostaną się na twoje ciało, nie zwlekaj z działaniem! Szybka konsultacja z lekarzem może uratować nie jedno „dziękuję” za pomoc. Jak mówią: „lepiej dmuchać na zimne”, zwłaszcza gdy mowa o erlichiozie!
Co jeszcze warto przedsięwziąć, aby zminimalizować ryzyko? Organizuj spotkania w parku zamiast wędrówek w dzikie tereny. W końcu czy grillowanie z przyjaciółmi nie może być równie atrakcyjną alternatywą dla leśnej wędrówki? A jeśli marzysz o dawce adrenaliny na łonie natury, wybieraj sprawdzone miejsca, gdzie kleszcze oraz inne niezdrowe towarzystwo nie mają wstępu. Zastanów się, że wspinając się na górę, sama droga to nie wszystko; zawsze pamiętaj o bezpiecznym powrocie.
Na koniec pamiętajmy o najważniejszym sprzymierzeńcu, jakim są zdrowe nawyki. Dieta bogata w witaminy, regularna aktywność fizyczna oraz unikanie stresu działają jak armia chroniąca nasz organizm. Im lepiej funkcjonuje nasza odporność, tym mniejsze ryzyko zmierzenia się z nieprzyjemnymi gośćmi. Jak to często powtarzają, lepiej zapobiegać niż leczyć — życie jest zbyt cenne, by spędzać je w szpitalach! Tak więc, do lasu z głową i bez kleszczy, a weekend z przyjaciółmi to najlepszy plan na każdą porę roku!
Aby zminimalizować ryzyko kontaktu z kleszczami, warto pamiętać o następujących zasadach:
- Organizowanie spotkań w parkach zamiast w dzikich terenach
- Wybieranie sprawdzonych miejsc na wypoczynek w naturze
- Unikanie jasnych kolorów odzieży, które mogą przyciągać owady
- Stosowanie sprayów odstraszających kleszcze i inne owady